Image 8.3
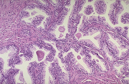
At medium power, the nodules contain glands with complex branching and two layers of cells.