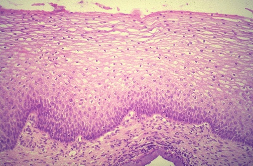
Image 5.2
Normal cervical epithelium is seen here histologically.