Image 4.4
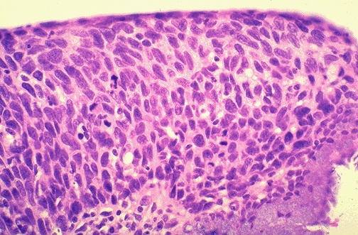
Dysplasia involving the full thickness of the cervical epithelium is seen here.