Image 3.3
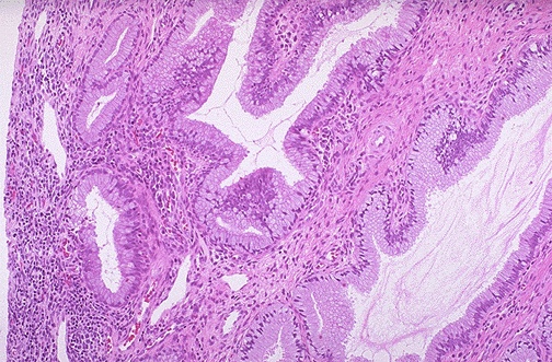
Microscopically, the cervix is seen here at medium power. (Remember, the endocervical glands are not true glands, but only invaginations of the surface endocervical mucinous epithelium into the fibromuscular stroma.)