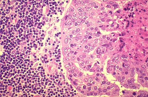
Image 2.4
Axillary lymph nodes were also found to be enlarged, non-tender, and firm. A section of one axillary lymph node is shown here at medium power magnification.