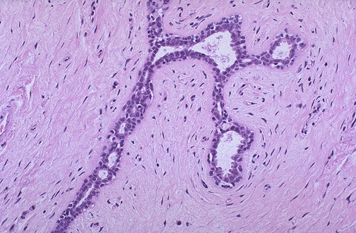
Image 1.3
The mass lesion from the breast is seen microscopically at higher power.