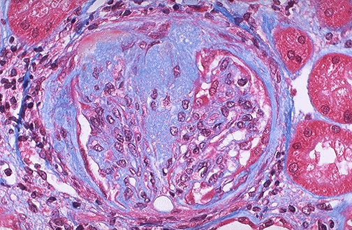
Image 4.2
At medium power, a glomerulus is shown here with Masson's trichrome stain.