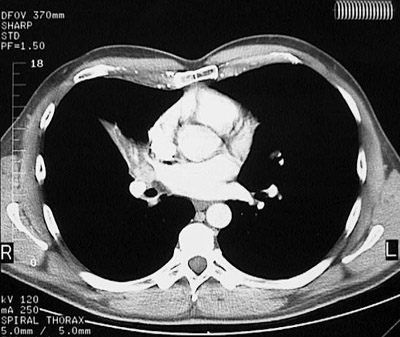
Image 5.1
This chest CT scan with "soft tissue" window demonstrates a
small tumor
that is causing obstruction with atelectasis of the
right middle lobe
.