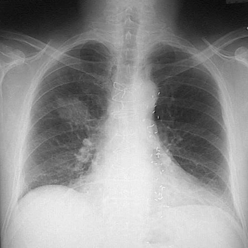
Image 6.1 The chest radiograph is shown here, with the right upper lobe mass lesion. This patient has had a previous coronary bypass graft placed, and there are vascular clips and sternal wire sutures.