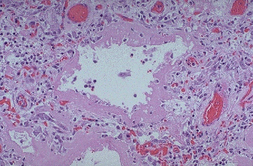
Image 8.3
The microscopic appearance of the lung is seen here at high magnification. Note the pink hyaline membranes and the type II cell hyperplasia.