Image 4.3
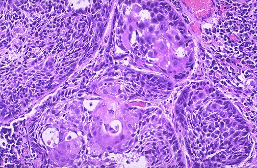
The microscopic appearance of the lesion is seen here at medium power.