Image 3.5
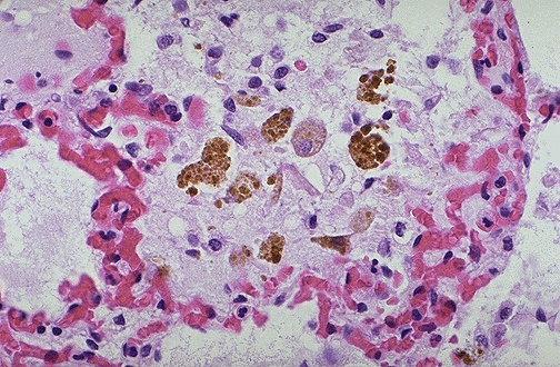
The microscopic appearance of the adjacent lung parenchyma is seen at high power.