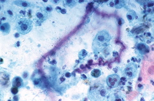
Image 9.1
A sputum cytology specimen is shown here with a curled thread of inspissated mucus known as a
Curschmann spiral
.