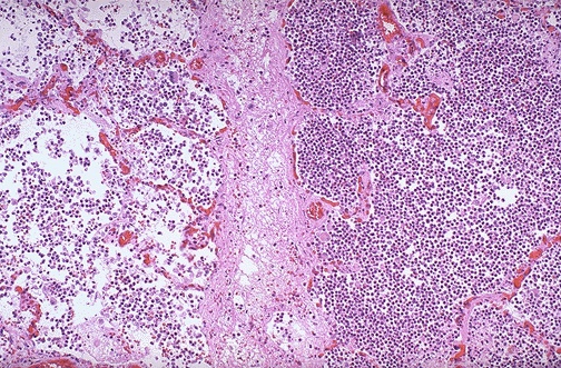
Image 3.6
The microscopic appearance of an area of consolidation is seen here at medium power.