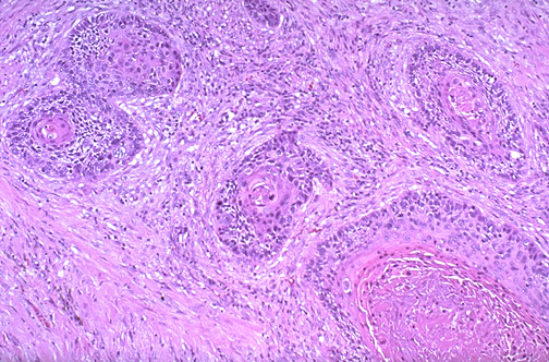
Image 3.4
By light microscopy the tissue from the mass displays cells in nests with
central keratin pearls
. There is an extensive fibrous stroma (desmoplasia).