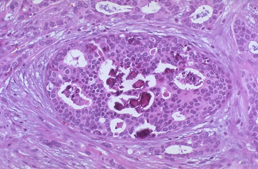
Image 1.5
At high magnification can be seen an irregular duct-like structure with pleomorphic cells and small bluish-purple calcifications.