Image 4.2
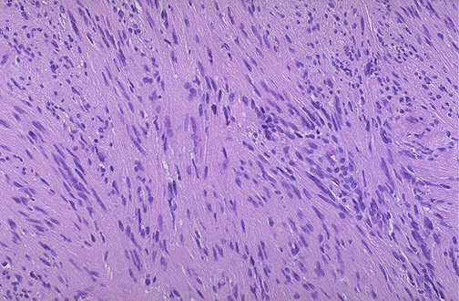
This is the low power microscopic appearance of the lesion. Describe the findings.