Image 1.4
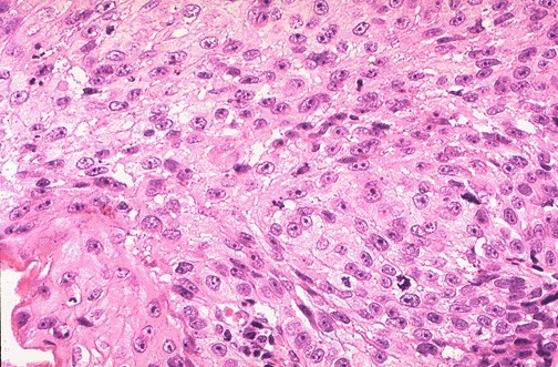
The high power microscopic appearance of the lesion is seen. Describe the appareance.