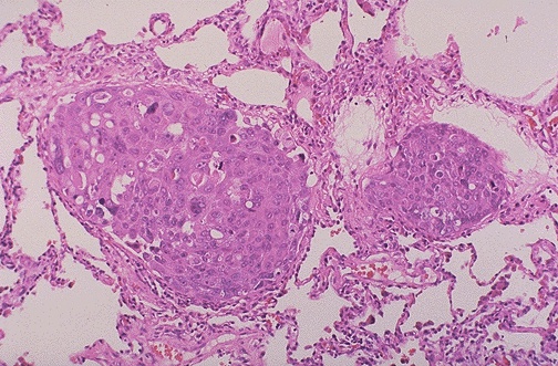
Image 5.3
The high power microscopic appearance is shown here.