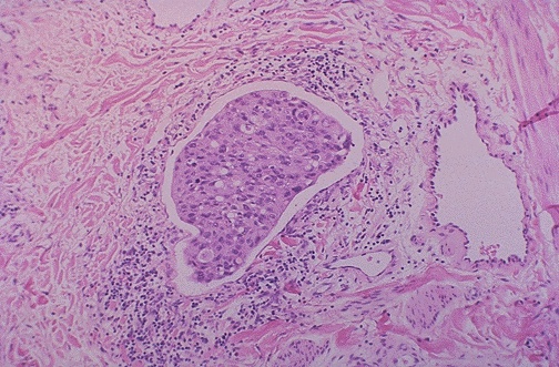
Image 4.4
The high power microscopic appearance of the skin is shown here.