Image 11.5
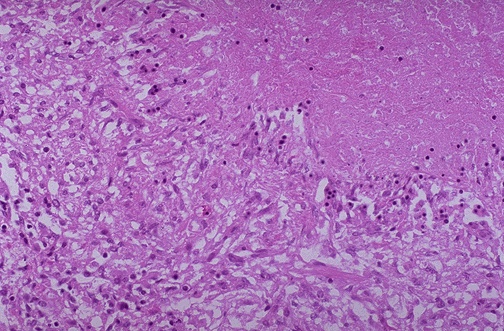
The high power microscopic appearance of the lung is shown here. What is the type of necrosis seen at the upper right?