Image 10.3
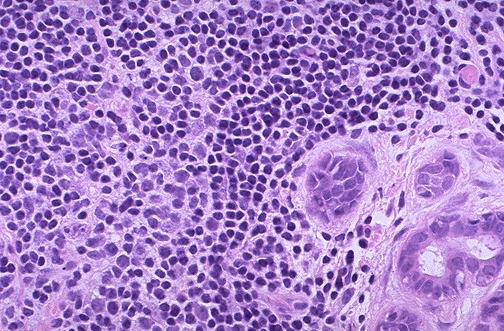
The high power microscopic appearance of the salivary gland is shown here. What is the predominant inflammatory cell type?