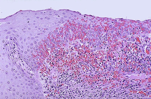
Image 7.2
The low power microscopic appearance of the cervix is shown here.