Image 5.2
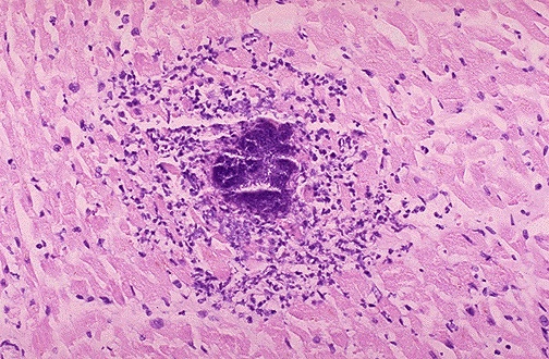
The low power microscopic appearance of one of the myocardial lesions is shown here.