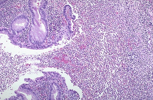
Image 2.4
The medium power microscopic appearance of the appendix removed at surgery is shown here.