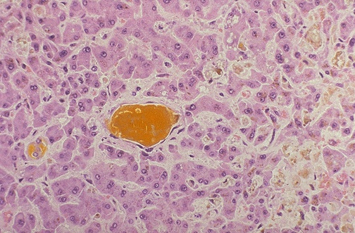
Image 8.3
This is a high power light microscopic view of the liver stained with H&E. What is the yellow-green pigment? This is bile pigment. There is marked cholestasis.