Image 4.2
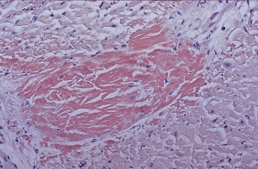
A Congo red stain of the myocardium is shown here. Describe what you see.