PBL Sessions: Hematology Organ System - 2


Return to the Main Menu



Page 6

History of Present Illness:

She returns to her physician 4 years later with a 2 day history of fever with worsening cough productive of a small amount of yellowish sputum. On examination her temperature is 39 C, pulse 93/min, respiratory rate 22/min, and blood pressure 110/65 mm Hg. There are crackles auscultated at the right lung base.

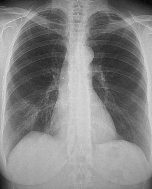
A chest x-ray is ordered.

Figure 2: Chest x-ray.

A sputum gram stain is obtained.

Figure 3: Sputum gram stain.

A CBC shows WBC count 2,500/microliter with differential count 20 segs, 5 bands, 60 lymphs, and 15 monos. Her Hgb is 5.9 g/dL, Hct 17.6%, MCV 70 fL, and platelet count 34,600/microliter. The leukocyte alkaline phosphatase (LAP) score is low, and upon review of the slide it is noted that some normal appearing neutrophils lack LAP altogether, while some have normal amounts of LAP. Her D-dimer is 8 micrograms/mL.

A "sugar water" test is ordered, but in the laboratory, that test is rarely done. The hematology technician does not find reagents for the test. Her supervisor tells her to go into the employee lounge where the coffee and tea are found and get the little packets of sugar. The supervisor remarks that a Ham test would be better, informing the pathologist, who calls the ordering physician.

Tasks

  • What do these findings indicate?

  • What hypotheses explain these findings?

  • Explain your reasoning for the hypotheses you choose.

  • Is there anything that can tie these findings together?

  • What additional laboratory test(s) would you order on this patient?

Stop !! Complete discussions and tasks before moving to the next page.