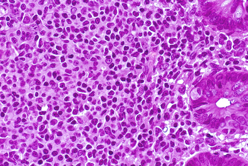
Image 8.2
The gastric mucosa is shown here at higher magnification. How would you characterize this population of cells? How does it differ from normal? [Courtesy of Dr. Carl R. Kjeldsberg, University of Utah]