Image 2.3
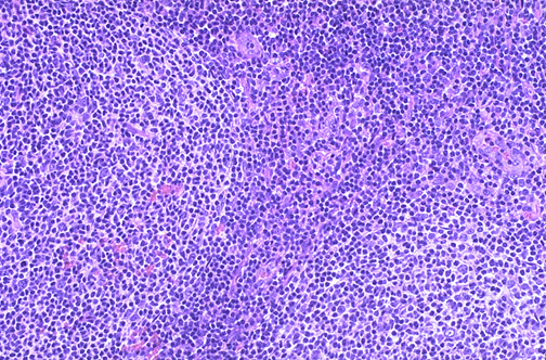
At higher power, the monomorphous nature of the lymphocytes comprising the follicles and interfollicular zones can be appreciated.