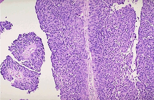
Image 6.3
The urothelium looks very similar to normal, except that it is more than seven layers thick and has occasional mitoses. The tumor is limited to the urothelium and has not invaded through the renal pelvis.