Image 5.3
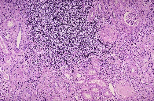
At low power, the adjacent kidney shows chronic inflammation microscopically.