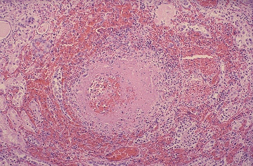
Image 3.4
There is fibrinoid necrosis of the small artery with surrounding hemorrhage.