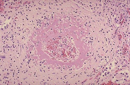
Image 3.2
There are changes in the medium to small arteries consisting of intimal proliferation as well as very prominent fibrinoid necrosis.