Image 1.9
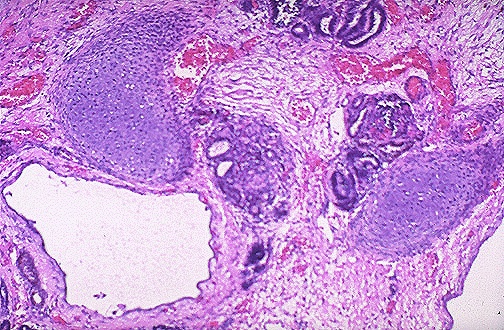
The microscopic appearance of multicystic renal dysplasia is seen here. Note the variably sized cysts and the cartilage.