Image 1.3
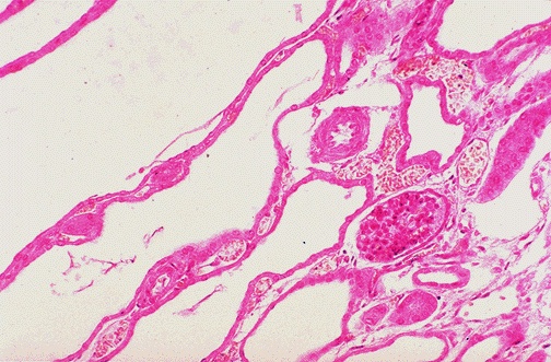
At high power, the cysts comprise most of the parenchyma, and there are rare residual glomeruli.