Image 8.3
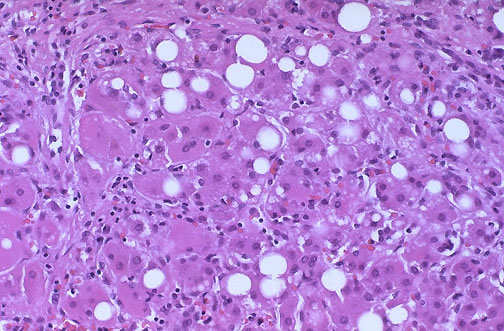
The high power microscopic appearance of the liver is seen here.