
|
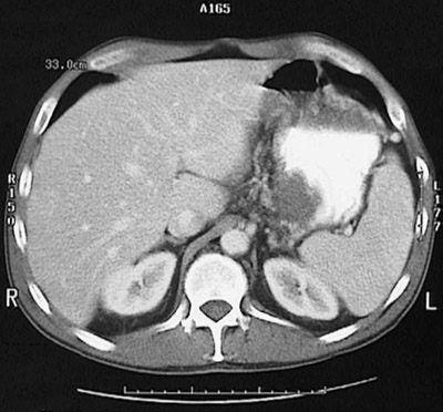
Image 7.4 A cystic space in the lesser sac lined by inflamed, necrotic tissue is seen here. In the abdominal CT scan view below, this cystic area appears with a low attenuation liquefied center, involving the tail of the pancreas, that appears to interdigitate with accentuated gastric rugal folds of the stomach filled with bright contrast. |
|