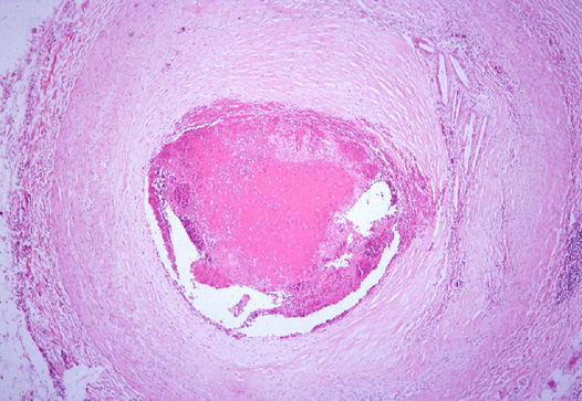
Image 2.2
This is a representative microscopic view of the patient's coronary artery. What is wrong?