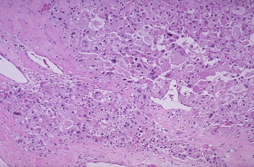
Image 7.3
At higher power, the neoplastic cells have pale pink to clear cytoplasm; nuclei show pleomorphism.