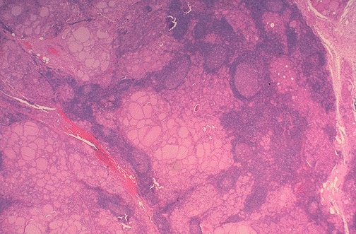
Image 5.1
What histologic features are recognizable at low power?