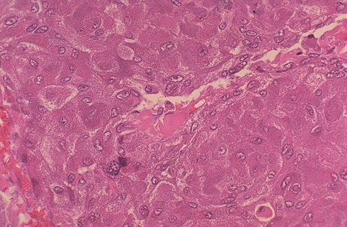
Image 4.7
What is the appearance of the cells shown here?