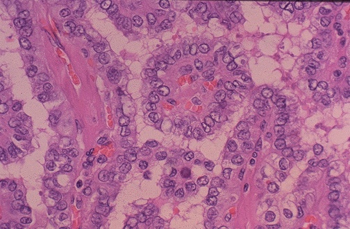
Image 1.3
At high power, the characteristic appearance of the nuclei is apparent. Describe this appearance.