
|
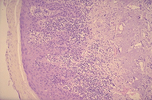
Image 6.1 Note the extensive solar elastosis of the upper dermis (the pale bluish-pink amorphous material) and the extensive chronic inflammation. The squamous epithelium is thickened and shows downward extension in areas in which the cells appear atypical. The cells have pink cytoplasm and intercellular bridges. Occasional mitotic figures are present. |
|