Image 2.4
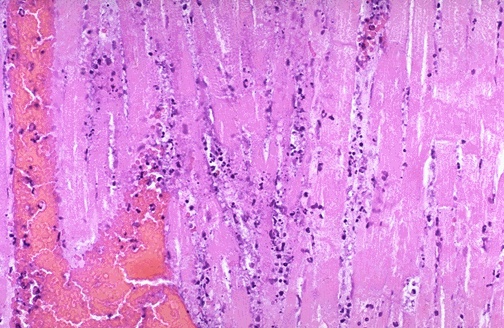
Later, the myocardium has the microscopic appearance shown here.