Image 2.2
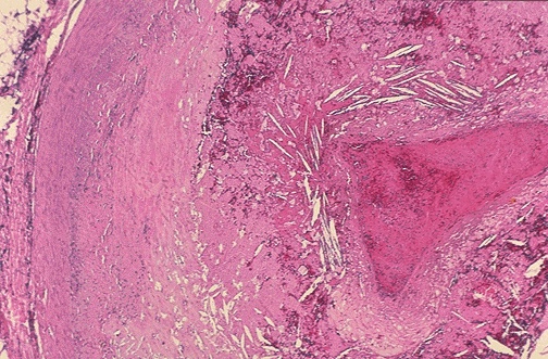
This is the microscopic appearance of his left anterior descending coronary artery.