Image 3.8
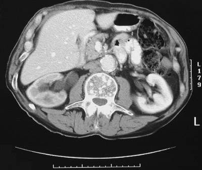
This is a CT scan. What would account for the brightness of the lesions present in the vertebral body seen here?