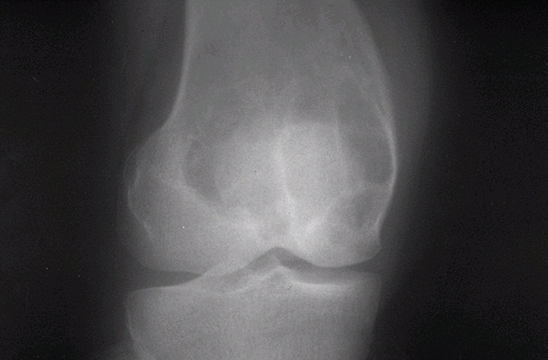
Image 6.1
Radiographs show an expansile, eccentric lesion located in the metaphysis of the distal femur that is surrounded by a rim of reactive new bone as a host response.