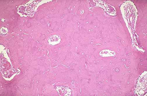
Image 4.2
Note the microscopic appearance of the bony trabeculae at low magnification.