Image 3.4
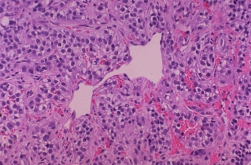
This is the microscopic appearance of the lesions present. Note the vascularity and the clear cytoplasm of the cells present.